Клинические случаи и отзывы врачей

Доктор Майкл Клейн

Доктор Майкл Клейн

"Работаю с системой Paltop уже более 5 лет. Могу отметить только положительные стороны. Первичная стабильность отличная, а главное, эта система дает возможность работать с CAD/CAM технологиями. Система прощает многие ошибки молодых специалистов."
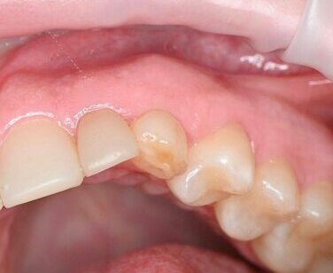
Имплантат Paltop Advavced Ø3.75/10mm
Якущенко Алексей Владимирович Хирург-имплантолог, ортопед

Якущенко Алексей Владимирович Хирург-имплантолог, ортопед

Выпускник Курского государственного медицинского университета.
Руководитель стоматологической клиники «Город Улыбок», ст. Северская.
Член Общества по изучению цвета в стоматологии.

Якущенко Алексей Владимирович: "Одним из первых в России начал использовать цифровые протоколы от компании Paltop. Работаю с компанией на протяжении 10 лет. Доволен качеством и современным подходом имплантологической системы Paltop в цифровой стоматологии.
Полный цифровой протокол установки имплантата и немедленная нагрузка
Якущенко Алексей Владимирович Хирург-имплантолог, ортопед

Якущенко Алексей Владимирович Хирург-имплантолог, ортопед

Выпускник Курского государственного медицинского университета.
Руководитель стоматологической клиники «Город Улыбок», ст. Северская.
Член Общества по изучению цвета в стоматологии.

Якущенко Алексей Владимирович: "Одним из первых в России начал использовать цифровые протоколы от компании Paltop. Работаю с компанией на протяжении 10 лет. Доволен качеством и современным подходом имплантологической системы Paltop в цифровой стоматологии.
Установка имплантатов и немедленная не окклюзионная нагрузка.
Доктор Михаил Павлович Певзнер

Доктор Михаил Павлович Певзнер

"В системе Paltop учтены все нюансы ортопедических компонентов, что делает работу ортопеда и зубного техника очень комфортной."
установка имплантата по хирургическому шаблону
Доктор Поднос Михаил

Доктор Поднос Михаил

"Провел уже более 50 операций системой PALTOP. Использую эту систему для немедленной нагрузки, уверен в стабильности. Точность постановки за счёт ступенчатых свёрл просто фантастика. Клиентам рекомендую Paltop. Опыт работы с системами Nobel, Straumann, MIS."
Одномоментная имплантация и немедленная нагрузка
Доктор Яссин Максим

Доктор Яссин Максим

Тотальная реабилитация на 4х имплантатах
Доктор Батищев Сергей

Доктор Батищев Сергей

Врач хирург стоматолог, челюстно - лицевой хирург. Руководитель школы дентальной имплантации.

Сотрудник кафедры хирургической стоматологии и челюстно - лицевой хирургии Кемеровского государственного медицинского университета.
Выполнено планирование имплантация, до операции изготовлена временная коронка. В день операции удаление 63, имплантация по навигации, установка временной коронки.
Доктор Поднос Михаил

Доктор Поднос Михаил

Врач Челюстной-лицевой хирург, хирург-имплантолог.
Окончил ординатуру по челюстной-лицевой хирургии на базе МГМСУ.
Специалист в области сложной импланталогии, костной и мягкотканой пластике.

Клинический случай хирурга-имплантолога М. Подноса и врача-ортопеда М. Певзнера.
Винтовая фиксация, одномоментное формирование профиля прорезывания.
Дистальный разрез для снятия напряжения с мягких тканей.
Винтовая фиксация.
Доктор Белоусова Александра

Доктор Белоусова Александра

Клинический случай имплантации с премиальной системой PALTOP
Одномоментная имплантация
Доктор

Доктор

Клинический случай имплантации
Доктор Якущенко Алексей

Доктор Якущенко Алексей

Хирург-имплантолог, ортопед
Выпускник Курского государственного медицинского университета
Руководитель стоматологической клиники «Город Улыбок», ст. Северская
Член Общества по изучению цвета в стоматологии
Первым в России начал использование полного навигационного протокола от компании Paltop.

Коронка изготовлена до операции и зафиксирована сразу после установки имплантата.
Полный цифровой протокол установки имплантата и немедленная нагрузка.
Профессор, ДМН Дробышев Алексей Юрьевич

Профессор, ДМН Дробышев Алексей Юрьевич

Профессор, доктор медицинских наук, заведующий кафедрой госпитальной хирургической стоматологии и челюстно-лицевой хирургии МГМСУ.
Член Российской и Европейской Ассоциации черепно-челюстно-лицевых хирургов, Российской и Европейской ассоциации пластических, реконструктивных и эстетической хирургов.
Выступает с лекциями и мастер-классами в городах России и в зарубежных странах. Автор более 140 статей и тезисов. Автор методических разработок.

Профессор Дробышев Алексей Юрьевич: «Работаю с системой Paltop 2,5 года. За данный период времени ни одного отторжения. Отсутствие резорбции - один из важных параметров современной имплантологии. Хорошая, качественная система»
Немедленная нагрузка и мягкотканная пластика
Доктор Железный Владислав Владимирович

Доктор Железный Владислав Владимирович

Челюстно-лицевой хирург, имплантолог. Главный врач Клиники Saint Dent Clinic (SDC).
Врач-стоматолог, ортопед, хирург.
Основная специализация: имплантация протезирование зубов несъемными конструкциями, микропротезирование (керамические виниры, вкладки, полные коронки, 3/4 коронки, 1/2 коронки), протезирование на всех видах имплантантов, амбулаторное хирургическое лечение, имплантация, направленная костная регенерация, устранение рецессий десны.

Доктор Железный Владислав Владимирович: «Функциональная, надежная система, отвечающая всем современным требованиям имплантологии».
Имплант Paltop Advanced 03.75мм, h10мм
Доктор Михаил Сорокин (г. Краснодар)

Доктор Михаил Сорокин (г. Краснодар)

"Очередной, довольно непростой клинический случай. Потеря центральных резцов из-за неправильного внутрикоронкового отбеливания, в результате - резорбция корней. Здесь я поставил импланты Paltop диаметром 3.25. длинна 10мм. Первичная стабильность, как всегда супер, хотя кость была мягкая D3. Немедленная нагрузка. Пациент спасён)). Спасибо Paltop"
Paltop диаметром 3.25. длинна 10мм
Профессор Ницан Бичачо

Профессор Ницан Бичачо

"Система стабильна. Функциональные и эстетические возможности имплантационной системы PALTOP сильно отличают ее среди равных."
Одномоментная имплантация и немедленная нагрузка
Доктор Анчаков Эдуард Васильевич

Доктор Анчаков Эдуард Васильевич

"Хирургический набор – приятно выполнен, радует глаз. Сверла очень хорошие. Дизайн лопастей сверл, наверно, самый лучший из тех, что мне приходилось пробовать, с точки зрения сбора кости. Отдельно, хочу отметить хорошие формирователи десны и их вогнутую трансгивальную часть. Имплантаты дают действительно хороший торк. Это, безусловно, огромный плюс."
Одномоментная имплантация и немедленная нагрузка Paltop Advavced
Доктор Песняк Владимир

Доктор Песняк Владимир

"Система позволяет выполнять работы любой сложности. Довольна проста в использовании и однозначно отвечает всем самым современным запросам, хирургической и ортопедической стоматологии."
Тотальное протезирование. Все на четырех имплантатах.